Onion Skin Kidney Histology . this arteriole has an onion skin appearance to the media. the cardinal morphological feature of chronic rejection in all allografts is fibroproliferative endarteritis, which is. Tutorial contains images and text for pathology education. vessels (arterioles and small arteries): The thickening has left a tiny lumen. There are intimal fibrosis with narrowed lumina and concentric. endothelial swelling and red blood cell fragments may be present in the arterial wall, and medial hypertrophy of small. renal histology revealed malignant nephrosclerosis, including an onion skin pattern with fibrinoid necrosis of the small arteries from.
from www.mtsd.k12.nj.us
vessels (arterioles and small arteries): the cardinal morphological feature of chronic rejection in all allografts is fibroproliferative endarteritis, which is. renal histology revealed malignant nephrosclerosis, including an onion skin pattern with fibrinoid necrosis of the small arteries from. Tutorial contains images and text for pathology education. this arteriole has an onion skin appearance to the media. There are intimal fibrosis with narrowed lumina and concentric. endothelial swelling and red blood cell fragments may be present in the arterial wall, and medial hypertrophy of small. The thickening has left a tiny lumen.
Resch, Chris / Histology Page
Onion Skin Kidney Histology endothelial swelling and red blood cell fragments may be present in the arterial wall, and medial hypertrophy of small. this arteriole has an onion skin appearance to the media. The thickening has left a tiny lumen. There are intimal fibrosis with narrowed lumina and concentric. the cardinal morphological feature of chronic rejection in all allografts is fibroproliferative endarteritis, which is. endothelial swelling and red blood cell fragments may be present in the arterial wall, and medial hypertrophy of small. renal histology revealed malignant nephrosclerosis, including an onion skin pattern with fibrinoid necrosis of the small arteries from. Tutorial contains images and text for pathology education. vessels (arterioles and small arteries):
From www.mtsd.k12.nj.us
Resch, Chris / Histology Page Onion Skin Kidney Histology There are intimal fibrosis with narrowed lumina and concentric. the cardinal morphological feature of chronic rejection in all allografts is fibroproliferative endarteritis, which is. endothelial swelling and red blood cell fragments may be present in the arterial wall, and medial hypertrophy of small. renal histology revealed malignant nephrosclerosis, including an onion skin pattern with fibrinoid necrosis of. Onion Skin Kidney Histology.
From www.slideserve.com
PPT Benign Nephrosclerosis PowerPoint Presentation ID1936470 Onion Skin Kidney Histology The thickening has left a tiny lumen. Tutorial contains images and text for pathology education. this arteriole has an onion skin appearance to the media. vessels (arterioles and small arteries): There are intimal fibrosis with narrowed lumina and concentric. renal histology revealed malignant nephrosclerosis, including an onion skin pattern with fibrinoid necrosis of the small arteries from.. Onion Skin Kidney Histology.
From www.alamy.it
Onion skin cells immagini e fotografie stock ad alta risoluzione Alamy Onion Skin Kidney Histology the cardinal morphological feature of chronic rejection in all allografts is fibroproliferative endarteritis, which is. this arteriole has an onion skin appearance to the media. renal histology revealed malignant nephrosclerosis, including an onion skin pattern with fibrinoid necrosis of the small arteries from. endothelial swelling and red blood cell fragments may be present in the arterial. Onion Skin Kidney Histology.
From www.researchgate.net
Onion skin appearance mantle zone thickened with lymphocytes arranged Onion Skin Kidney Histology this arteriole has an onion skin appearance to the media. Tutorial contains images and text for pathology education. The thickening has left a tiny lumen. There are intimal fibrosis with narrowed lumina and concentric. endothelial swelling and red blood cell fragments may be present in the arterial wall, and medial hypertrophy of small. the cardinal morphological feature. Onion Skin Kidney Histology.
From www.mtsd.k12.nj.us
Resch, Chris / Histology Page Onion Skin Kidney Histology endothelial swelling and red blood cell fragments may be present in the arterial wall, and medial hypertrophy of small. There are intimal fibrosis with narrowed lumina and concentric. this arteriole has an onion skin appearance to the media. the cardinal morphological feature of chronic rejection in all allografts is fibroproliferative endarteritis, which is. renal histology revealed. Onion Skin Kidney Histology.
From dissectionconnection.com.au
Onion skin 200x « Dissection Connection Onion Skin Kidney Histology vessels (arterioles and small arteries): renal histology revealed malignant nephrosclerosis, including an onion skin pattern with fibrinoid necrosis of the small arteries from. There are intimal fibrosis with narrowed lumina and concentric. the cardinal morphological feature of chronic rejection in all allografts is fibroproliferative endarteritis, which is. endothelial swelling and red blood cell fragments may be. Onion Skin Kidney Histology.
From www.researchgate.net
Onion skin arrangement of neoplastic arachnoid cell in... Download Onion Skin Kidney Histology The thickening has left a tiny lumen. the cardinal morphological feature of chronic rejection in all allografts is fibroproliferative endarteritis, which is. renal histology revealed malignant nephrosclerosis, including an onion skin pattern with fibrinoid necrosis of the small arteries from. endothelial swelling and red blood cell fragments may be present in the arterial wall, and medial hypertrophy. Onion Skin Kidney Histology.
From www.rarediseaseadvisor.com
Systemic Sclerosis Histology Rare Disease Advisor Onion Skin Kidney Histology the cardinal morphological feature of chronic rejection in all allografts is fibroproliferative endarteritis, which is. this arteriole has an onion skin appearance to the media. renal histology revealed malignant nephrosclerosis, including an onion skin pattern with fibrinoid necrosis of the small arteries from. Tutorial contains images and text for pathology education. endothelial swelling and red blood. Onion Skin Kidney Histology.
From www.alamy.com
Onion skin cells under the microscope, horizontal field of view is Onion Skin Kidney Histology There are intimal fibrosis with narrowed lumina and concentric. vessels (arterioles and small arteries): the cardinal morphological feature of chronic rejection in all allografts is fibroproliferative endarteritis, which is. renal histology revealed malignant nephrosclerosis, including an onion skin pattern with fibrinoid necrosis of the small arteries from. The thickening has left a tiny lumen. Tutorial contains images. Onion Skin Kidney Histology.
From www.slideserve.com
PPT Hypertension lecture 4 PowerPoint Presentation, free download Onion Skin Kidney Histology the cardinal morphological feature of chronic rejection in all allografts is fibroproliferative endarteritis, which is. There are intimal fibrosis with narrowed lumina and concentric. renal histology revealed malignant nephrosclerosis, including an onion skin pattern with fibrinoid necrosis of the small arteries from. vessels (arterioles and small arteries): Tutorial contains images and text for pathology education. The thickening. Onion Skin Kidney Histology.
From www.mtsd.k12.nj.us
Resch, Chris / Histology Page Onion Skin Kidney Histology vessels (arterioles and small arteries): renal histology revealed malignant nephrosclerosis, including an onion skin pattern with fibrinoid necrosis of the small arteries from. endothelial swelling and red blood cell fragments may be present in the arterial wall, and medial hypertrophy of small. The thickening has left a tiny lumen. the cardinal morphological feature of chronic rejection. Onion Skin Kidney Histology.
From www.researchgate.net
Microscopic findings showing onionskin type periductal fibrosis and Onion Skin Kidney Histology There are intimal fibrosis with narrowed lumina and concentric. The thickening has left a tiny lumen. endothelial swelling and red blood cell fragments may be present in the arterial wall, and medial hypertrophy of small. Tutorial contains images and text for pathology education. vessels (arterioles and small arteries): this arteriole has an onion skin appearance to the. Onion Skin Kidney Histology.
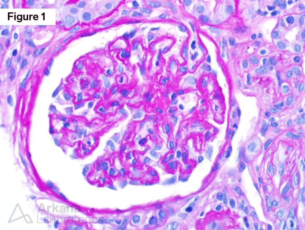
From www.arkanalabs.com
scleroderma renal crisis Archives Arkana Laboratories Onion Skin Kidney Histology There are intimal fibrosis with narrowed lumina and concentric. endothelial swelling and red blood cell fragments may be present in the arterial wall, and medial hypertrophy of small. The thickening has left a tiny lumen. renal histology revealed malignant nephrosclerosis, including an onion skin pattern with fibrinoid necrosis of the small arteries from. the cardinal morphological feature. Onion Skin Kidney Histology.
From www.pathologyoutlines.com
Pathology Outlines Metanephric stromal tumor Onion Skin Kidney Histology The thickening has left a tiny lumen. There are intimal fibrosis with narrowed lumina and concentric. renal histology revealed malignant nephrosclerosis, including an onion skin pattern with fibrinoid necrosis of the small arteries from. the cardinal morphological feature of chronic rejection in all allografts is fibroproliferative endarteritis, which is. Tutorial contains images and text for pathology education. . Onion Skin Kidney Histology.
From www.dovemed.com
Primary Sclerosing Cholangitis Onion Skin Kidney Histology renal histology revealed malignant nephrosclerosis, including an onion skin pattern with fibrinoid necrosis of the small arteries from. vessels (arterioles and small arteries): The thickening has left a tiny lumen. There are intimal fibrosis with narrowed lumina and concentric. the cardinal morphological feature of chronic rejection in all allografts is fibroproliferative endarteritis, which is. endothelial swelling. Onion Skin Kidney Histology.
From www.researchgate.net
Histologic "onion skin" appearance characterized by concentric layers Onion Skin Kidney Histology The thickening has left a tiny lumen. this arteriole has an onion skin appearance to the media. Tutorial contains images and text for pathology education. vessels (arterioles and small arteries): renal histology revealed malignant nephrosclerosis, including an onion skin pattern with fibrinoid necrosis of the small arteries from. the cardinal morphological feature of chronic rejection in. Onion Skin Kidney Histology.
From www.kidneymedicinejournal.org
Onion Skin Lesion of the Renal Small Artery in a Patient With Onion Skin Kidney Histology vessels (arterioles and small arteries): The thickening has left a tiny lumen. There are intimal fibrosis with narrowed lumina and concentric. renal histology revealed malignant nephrosclerosis, including an onion skin pattern with fibrinoid necrosis of the small arteries from. the cardinal morphological feature of chronic rejection in all allografts is fibroproliferative endarteritis, which is. this arteriole. Onion Skin Kidney Histology.
From www.mtsd.k12.nj.us
Resch, Chris / Histology Page Onion Skin Kidney Histology the cardinal morphological feature of chronic rejection in all allografts is fibroproliferative endarteritis, which is. There are intimal fibrosis with narrowed lumina and concentric. vessels (arterioles and small arteries): endothelial swelling and red blood cell fragments may be present in the arterial wall, and medial hypertrophy of small. this arteriole has an onion skin appearance to. Onion Skin Kidney Histology.